Danh mục
fANPAGE
Những người ở lứa tuổi dậy thì thường dễ bị mắc bệnh lang ben, bệnh do một loại nấm sống hoại sinh ở trên da người.
Đặc điểm của bệnh lang ben
Bệnh lang ben (pityriasis versicolor) do loại nấm Malassezia furfur, còn gọi là nấm Pityrosporum ovale gây nên. Bình thường nấm Malassezia furfur sống hoại sinh trên da người, lây nhiễm từ người này sang người khác trực tiếp hoặc gián tiếp qua khăn lau, giường chiếu…Nấm gây bệnh khi có các điều kiện thuận lợi như đổ mồ hôi nhiều, xoa kem có chất béo trên da, tăng cortisone máu…
Ngoài ra, bệnh còn có vai trò của yếu tố di truyền.Ngoài bệnh lang ben thường hay gặp, loại nấm Malassezia furfur cũng có thể gây bệnh viêm nang lông (pityriasis folliculitis), viêm da tăng tiết bã (seborrhoeic dermatitis), gầu (dandruff); đôi khi chúng xâm nhập vào máu gây nên nhiễm nấm máu.

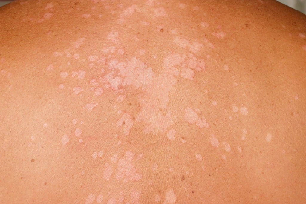
Bệnh lang ben thường gây tổn thương trên da chủ yếu ở vị trí 1/2 phía trên thân người như mặt, cổ, lưng, ngực…; hiếm gặp ở đùi chân và cẳng chân. Nấm ngăn cản sự hấp thu tia cực tím trong ánh sáng mặt trời nên càng ra nắng, phần da lành của người bệnh càng bị sẫm màu, nơi tổn thương càng nổi rõ. Nơi da bị nhiễm nấm thường có những mảng da đổi màu, ranh giới rõ, có thể có màu trắng, hồng, vàng hoặc nâu phụ thuộc vào sắc tố da bình thường, sự tiếp xúc ánh sáng mặt trời và mức độ bệnh.
Tổn thương trên da thường xếp thành từng đám, có vảy.Khi ra nắng tiếp xúc với ánh sáng mặt trời hoặc khi có mồ hôi đổ ra sẽ gây ngứa ngáy, râm ran khó chịu, có cảm giác như kim đâm. Bệnh lang ben thường hay gặp ở lứa tuổi từ 15-17 nên còn được gọi là bệnh lang lớn. Bệnh này cũng có thể gặp ở trẻ em và cả người già.
Chẩn đoán và điều trị bệnh
Chẩn đoán bệnh lang ben đơn giản bằng cách chiếu đèn Wood lên da, chỗ da bị tổn thương sẽ phát huỳnh quang màu vàng xanh lá cây nhạt. Có thể xét nghiệm trực tiếp bằng cách soi trực tiếp vảy da trong dung dịch KOH 20% hay xanh methylene sẽ thấy những tế bào nấm men tròn với kích thước tới 8µm và những sợi nấm ngắn với kích thước từ 2,5 – 4µm, cong, ít phân nhánh. Đôi khi gặp những tế bào nấm hình ovale, hình trụ, kích thước từ 1,5 – 2,5µm x 3 – 3,5µm xếp thành từng đám.

Điều trị bệnh nấm lang ben thường dùng dung dịch BSI, ASA 1% hoặc 2% bôi lên chỗ da bị tổn thương, kết hợp bôi mỡ benzosali trong thời gian từ 2 – 3 tuần. Tốt nhất là dùng các loại thuốc azole bôi tai chỗ; thuốc có dạng kem, dung dịch, dầu gội hoặc xà phòng như sastid, kelog, nizoral…
Trong những trường hợp nặng, có thể uống ketoconazole 400mg/ngày, dùng từ 5 – 10 ngày hoặc itraconazole 200mg/ngày, dùng từ 5 – 7 ngày. Màu sắc da sẽ trở về bình thường với thời gian chậm trong nhiều tháng sau khi đã điều trị hết nấm gây bệnh. Bệnh lang ben do nấm thường hay tái phát, vì vậy có thể cần điều trị dự phòng khi có chỉ định của bác sĩ.
Trên đây là những điều cần biết về điều trị bệnh lang ben nếu bạn thấy dấu hiệu của bệnh thì hãy tìm ngay một phòng khám da liễu, một bác sĩ chuyên khoa phù hợp và điều trị đúng cách và để trải nghiệm quy trình chăm sóc da chuyên nghiệp từ căn bản đến chuyên sâu, hãy sử dụng dịch vụ làm đẹp của Phòng Khám Da Liễu Thiên Ái . Với kinh nghiệm trên 25 năm điều trị bệnh da liễu và chăm sóc da mặt tại bệnh viện Da liễu TPHCM sẽ hỗ trợ điều trị cùng với hiệu quả tức thì sau lần điều trị đầu tiên. Đó là nét đặc biệt của Phòng Khám Da Liễu Thiên Ái mà các công nghệ khác khó làm được.
PHÒNG KHÁM CHUYÊN KHOA DA LIỄU VÀ THẨM MỸ THIÊN ÁI
Địa chỉ: 47A Lê Bình,P.4, Q.Tân Bình, TP.HCM
Hotline: 0936.637.841 (Bs Diệu My)
Tel : (028).3811.5679
Email: bsdalieu.dieumy@gmail.com
Website: www.phongkhamdalieuthienai.com

