Chat hỗ trợ
Chat ngay

fANPAGE

Trang chủ»Tin tức»Cách điều trị bệnh giang mai

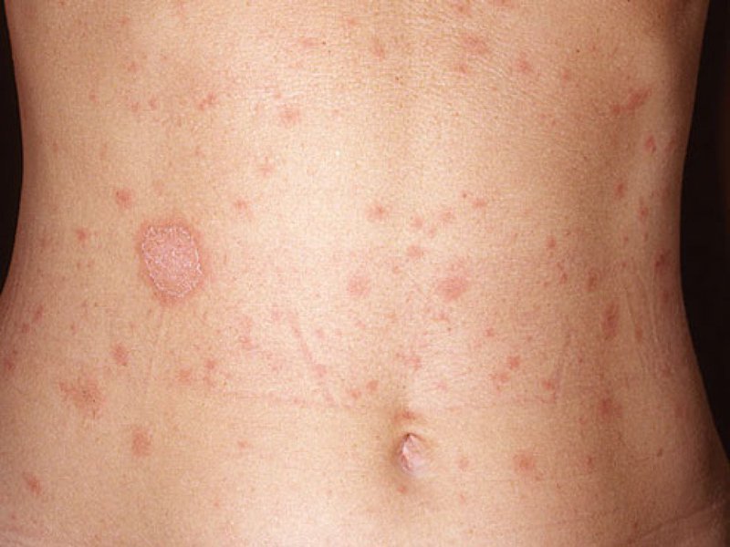
Bệnh giang mai là một trong những bệnh xã hội rất nguy hiểm, do xoắn khuẩn Treponama gây nên và thường lây lan qua quan hệ tình dục là chính. Ngoài ra, bệnh còn có thể lây lan qua việc dùng chung các đồ dùng cá nhân với người bệnh hay có tiếp xúc trực tiếp với người bệnh khi cơ thể có những vết thương hở da. Không chỉ vậy, giang mai còn có thể lây truyền từ mẹ sang con thông qua đường sinh sản trực tiếp hay qua các tĩnh mạch dây rốn. 

 

Dưới đây chúng tôi sẽ cùng tìm những cách chữa bệnh giang mai.

 

cach-tri-benh-giang-mai

 

Đối với việc điều trị bệnh giang mai, các chuyên gia đầu ngành cho biết sẽ tùy thuộc vào từng giai đoạn bệnh mà có các biện pháp điều trị hiệu quả khác nhau:

 

- Giai đoạn 1 là giai đoạn dễ dàng để điều trị và loại bỏ vi khuẩn giang mai nhất. Thời điểm này vác sĩ có thể điều trị bằng kháng sinh qua đường tiêm hoặc uống.

- Giai đoạn 2 việc sử dụng kháng sinh sẽ kéo dài hơn nhiều kết hợp với các biện pháp khác để khống chế vi khuẩn. Thời điểm này bác sĩ sẽ thường xuyên kiểm tra xem bạn đã hoàn toàn khỏi bệnh hay chưa.

- Ngoài ra bác sĩ sẽ điều trị miễn dịch cân bằng bằng cách can thiệp vào gen mầm bệnh phá vỡ cấu trúc của bệnh khiến vi khuẩn không sản sinh và được tiêu diệt hoàn toàn.

 

Vì giang mai là một bệnh cực kỳ nguy hiểm nên quá trình điều trị thường kéo dài, người bệnh cần phối hợp với bác sĩ để kết quả điều trị được tốt nhất. Một điều quan trọng khác điều trị bệnh giang mai cần chẩn đoán sớm, điều trị sớm với phương pháp chính xác thì việc ngăn chặn bệnh cũng như tác hại của bệnh mới hiệu quả nhất.

 

Những lưu ý phòng tránh bệnh giang mai


Cách tốt nhất để không gặp phải những biến chứng của bệnh giang mai đó là phòng tránh để bản thân không bị bệnh. Việc phòng tránh tốt nhất là có một lối sống lành mạnh, chung thủy 1 vợ - 1 chồng và cả hai đều là người không mắc bệnh. Quan hệ sử dụng bao cao su tuy có thể giảm nguy cơ gây bệnh nhưng không hoàn toàn vì thế hãy là người có một lối sống tình dục an toàn.

 

cach-tri-benh-giang-mai

 

Các bà mẹ đang mang thai cũng được khuyến cáo nên đi xét nghiệm bệnh giang mai ở lần khám thai đầu tiên và ở 3 tháng thai kỳ cuối cùng để việc điều trị diễn ra sớm nhất nếu có kết quả dương tính với bệnh.

 

Trên đây là những điều cần biết điều trị bệnh giang mai nếu bạn thấy dấu hiệu của bệnh thì hãy tìm ngay một phòng khám da liễu, một bác sĩ chuyên khoa phù hợp và điều trị đúng cách và để trải nghiệm quy trình chăm sóc da chuyên nghiệp từ căn bản đến chuyên sâu, hãy sử dụng dịch vụ làm đẹp của Phòng Khám Da Liễu Thiên Ái . Với kinh nghiệm trên 25 năm điều trị bệnh da liễu và chăm sóc da mặt tại bệnh viện Da liễu TPHCM sẽ hỗ trợ điều trị cùng với hiệu quả tức thì sau lần điều trị đầu tiên. Đó là nét đặc biệt của Phòng Khám Da Liễu Thiên Ái mà các công nghệ khác khó làm được.

 

 

PHÒNG KHÁM CHUYÊN KHOA DA LIỄU VÀ THẨM MỸ THIÊN ÁI

 

Địa chỉ: 47A Lê Bình,P.4, Q.Tân Bình, TP.HCM

Hotline:  0936.637.841 (Bs Diệu My)

Tel : (028).3811.5679

Website: phongkhamdalieuthienai.com 

Cách điều trị bệnh giang mai

Cách điều trị bệnh giang mai