Danh mục
fANPAGE
Bệnh giang mai là một bệnh nhiễm khuẩn do xoắn khuẩn Treponema pallidum gây ra. Vi khuẩn giang mai xâm nhập trực tiếp vào cơ thể khi quan hệ không được bảo vệ ( đường âm đạo, hậu môn hay miệng), qua các vết xước trên da, niêm mạc khi tiếp xúc với dịch tiết từ tổn thương giang mai.
Xoắn khuẩn giang mai còn có thể lây truyền từ mẹ sang con trong thời kỳ bào thai từ tháng thứ 4 trở đi, do xoắn khuẩn này xâm nhập máu thai nhi qua dây rốn.
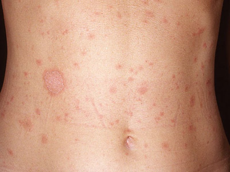
Do cấu tạo của bộ phận sinh dục ở dạng mở mà người phụ nữ dễ bị lây nhiễm các bệnh tình dục hơn nam giới, kể cả bệnh giang mai. Bệnh giang mai ở nữ giới nếu không điều trị kịp thời rất có thể gây nên những tổn thương tại tất cả các bộ phận trong cơ thể như viêm loét bộ phận sinh dục, phát ban ngoài da, đau nhức cơ xương, thậm chí gây ảnh hưởng đến nội tạng.
Cho đến nay,bệnh giang mai được biết đến là bệnh lây truyền qua đường tình dục nguy hiểm và đáng sợ nhất trong số các bệnh xã hội. Nó không chỉ ảnh hưởng tới sức khỏe mà còn khiến tính mạng bệnh nhân bị đe dọa, ngoài nguy cơ lây nhiễm ở người lớn nó còn có khả năng lây truyền sang cả trẻ em.

Bệnh giang mai là gì?
Bệnh giang mai (tên tiếng Anh là Syphilis), do xoắn khuẩn giang mai Treponema pallidum gây ra. Xoắn khuẩn này có hình lò xo và khi xâm nhập vào cơ thể chỉ sau từ 3 – 90 ngày bệnh nhân sẽ có những triệu chứng rõ rệt ở từng giai đoạn. Bệnh không trừ một ai, bất kỳ đối tượng nào cũng có thể dễ dàng nhiễm bệnh ngay cả trẻ nhỏ.
Xoắn khuẩn giang mai lây nhiễm chủ yếu qua đường tình dục không an toàn, ngoài ra nó có thể lây bệnh khi niêm mạc của người bệnh tiếp xúc với vết thương hở hoặc vùng niêm mạc ẩm ướt trên cơ thể người khác như da, khoang miệng, hậu môn.
Cũng giống như những bệnh xã hội khác, tuy nguy hiểm nhưng nếu được phát hiện kịp thời và điều trị đúng cách thì giang mai có thể được kiểm soát và không gây nên bất kỳ tổn thương nào nguy hại. Nhưng nếu để bệnh kéo dài không được điều trị, người bệnh không những phải chịu biến chứng do bệnh gây ra mà còn có nguy cơ lây nhiễm bệnh cho nhiều người khác.
Bệnh giang mai có thể lây nhiễm cho tất cả mọi người tuy nhiên có nhiều nghiên cứu chỉ ra từ năm 2010 tỷ lệ nữ giới bị giang mai giảm hơn so với nam giới rất nhiều, những bệnh nhân giang mai là nam giới thường bị mắc bệnh do quan hệ với người đồng tính.
Bệnh giang mai rất dễ lây nhiễm khi ở 2 giai đoạn đầu, những yếu tố làm tăng nguy cơ mắc bệnh giang mai đó là:
- Những đối tượng bị nhiễm HIV, hệ miễn dịch kém rất dễ bị lây truyền giang mai.
- Thai phụ bị giang mai có nguy cơ lây nhiễm cho con rất cao.
- Người từng bị giang mai và đã được điều trị nhưng có cơ thể không tự miễn dịch được với bệnh vẫn có nguy cơ mắc bệnh trở lại.

Trên đây là những điều cần biết điều trị bệnh giang mai nếu bạn thấy dấu hiệu của bệnh thì hãy tìm ngay một phòng khám da liễu, một bác sĩ chuyên khoa phù hợp và điều trị đúng cách và để trải nghiệm quy trình chăm sóc da chuyên nghiệp từ căn bản đến chuyên sâu, hãy sử dụng dịch vụ làm đẹp của Phòng Khám Da Liễu Thiên Ái . Với kinh nghiệm trên 25 năm điều trị bệnh da liễu và chăm sóc da mặt tại bệnh viện Da liễu TPHCM sẽ hỗ trợ điều trị cùng với hiệu quả tức thì sau lần điều trị đầu tiên. Đó là nét đặc biệt của Phòng Khám Da Liễu Thiên Ái mà các công nghệ khác khó làm được.
PHÒNG KHÁM CHUYÊN KHOA DA LIỄU VÀ THẨM MỸ THIÊN ÁI
Địa chỉ: 47A Lê Bình,P.4, Q.Tân Bình, TP.HCM
Hotline: 0936.637.841 (Bs Diệu My)
Tel : (028).3811.5679
Website: phongkhamdalieuthienai.com

